足の症状
コンパートメント症候群
2025年2月15日
コンパートメント症候群は、筋膜に囲まれた筋区画(コンパートメント)の内圧が上昇し、循環不全により神経、筋に不可逆性壊死をきたすもので前腕と下腿に好発します。外傷などを原因とする急性コンパートメント症候群と、激しい運動を […]
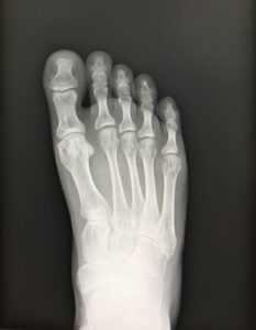
行軍骨折(第2,3中足骨疲労骨折)
2025年2月8日
行軍骨折は中足骨の疲労骨折で、下肢の疲労骨折のなかで脛骨に次いで多くみられます。“行軍骨折”という名称は、軍隊の長距離の行軍中に発症することが多かったことに由来しています。 スポーツ障害として生じることが多く、第2およ […]













